Vorher/
Nacher

Ein Bild sagt mehr als 1.000 Worte. Auf dieser Seite erzählen wir viele Geschichten. Und alle haben ein Happy Ending mit einem wunderschönen Steirersmile.

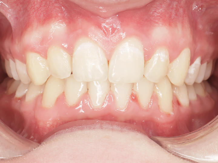
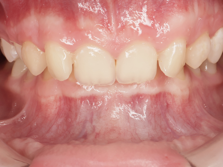
Deckbiss

Vorher
Nachher

Simon

Alter: 15 Jahre
Diagnose: Tiefbiss, Deckbiss
Therapie: Brackets
Therapiedauer: 17 Monate

Vorher
Nachher

Emelie

Alter: 14 Jahre
Diagnose: Tiefbiss, Deckbiss
Therapie: Brackets
Therapiedauer: 18 Monate

Nichtanlagen

Vorher
Nachher

Jana

Alter: 11 Jahre
Diagnose: Nichtanlagen obere seitliche Schneidezähne
Therapie: Brackets
Therapiedauer: 22 Monate

Vorher
Nachher

Ines

Alter: 12 Jahre
Diagnose: Nichtanlagen untere 5er
Therapie: Brackets
Therapiedauer: 23 Monate

Vorher
Nachher

Felix

Alter: 13 Jahre
Diagnose: Nichtanlagen
Therapie: Brackets
Therapiedauer: 16 Monate

Vorher
Nachher

Christoph

Alter: 12 Jahre
Diagnose: Nichtanlagen aller 5er
Therapie: Brackets
Therapiedauer: 25 Monate

Vorher
Nachher

Maria

Alter: 11 Jahre
Diagnose: Nichtanlagen Schneidezahn
Therapie: Brackets
Therapiedauer: 19 Monate

Offener Biss

Vorher
Nachher

Casandra

Alter: 15 Jahre
Diagnose: frontal & seitl. offener Biss
Therapie: Brackets
Therapiedauer: 16 Monate

Vorher
Nachher

Jan

Alter: 11 Jahre
Diagnose: seitlich offener Biss
Therapie: Brackets
Therapiedauer: 37 Monate

Engstand

Vorher
Nachher

Rene

Alter: 31 Jahre
Diagnose: Engstand, seitl. Kreuzbiss
Therapie: Brackets
Therapiedauer: 18 Monate

Vorher
Nachher

Franziska

Alter: 11 Jahre
Diagnose: Engstand
Therapie: Brackets
Therapiedauer: 20 Monate

Vorher
Nachher

Jasmin

Alter: 13 Jahre
Diagnose: Frontengstand
Therapie: Brackets
Therapiedauer: 14 Monate

Vorher
Nachher

Manuela

Alter: 47 Jahre
Diagnose: Frontengstand, verkehrter Überbiss
Therapie: Brackets
Therapiedauer: 14 Monate

Kreuzbiss

Vorher
Nachher

Emilia

Alter: 12 Jahre
Diagnose: Kreuzbiss
Therapie: Brackets
Therapiedauer: 17 Monate

Vorher
Nachher

Lorenz

Alter: 11 Jahre
Diagnose: Kreuzbiss
Therapie: Brackets
Therapiedauer: 20 Monate

Lückengebiss

Vorher
Nachher

Lukas

Alter: 16 Jahre
Diagnose: Lückengebiss
Therapie: Brackets
Therapiedauer: 13 Monate

Unterkiefer Rücklage/Distalbiss

Vorher
Nachher

Raphael

Alter: 14 Jahre
Diagnose: Rückbiss und Distalbiss
Therapie: Brackets
Therapiedauer: 17 Monate

Vorher
Nachher

Artur

Alter: 10 Jahre
Diagnose: Rückbiss
Therapie: Brackets
Therapiedauer: 18 Monate

Vorher
Nachher

Tatjana

Alter: 14 Jahre
Diagnose: Rückbiss und Frontengstand
Therapie: Brackets
Therapiedauer: 22 Monate

Vorher
Nachher

Laura

Alter: 13 Jahre
Diagnose: Rückbiss und frontaler offener Biss
Therapie: Brackets
Therapiedauer: 22 Monate

Vorher
Nachher

Jakob

Alter: 12 Jahre
Diagnose: Rückbiss
Therapie: Brackets
Therapiedauer: 18 Monate

Vorher
Nachher

Sabine

Alter: 14 Jahre
Diagnose: Rückbiss
Therapie: Brackets
Therapiedauer: 22 Monate

Vorher
Nachher

Sarah

Alter: 11 Jahre
Diagnose: Rückbiss
Therapie: Brackets
Therapiedauer: 19 Monate

Unterkiefer Vorlage Progenie

Vorher
Nachher

Nicole

Alter: 17 Jahre
Diagnose: Unterkiefer Vorlage Progenie, Lückenschluss
Therapie: Brackets
Therapiedauer: 27 Monate

Vorher
Nachher

Margareta

Alter: 15 Jahre
Diagnose: Unterkiefer Vorlage Progenie, Eckzahn verlagert
Therapie: Brackets
Therapiedauer: 20 Monate

Vorher
Nachher

Sofia

Alter: 7 Jahre
Diagnose: Unterkiefer Vorlage Progenie, progener Zwangsbiss
Therapie: Brackets
Therapiedauer: 11 Monate

Tiefbiss

Vorher
Nachher

Simon

Alter: 15 Jahre
Diagnose: Tiefbiss, Deckbiss
Therapie: Brackets
Therapiedauer: 17 Monate

Vorher
Nachher

Stefan

Alter: 33 Jahre
Diagnose: Tiefbiss
Therapie: Brackets
Therapiedauer: 16 Monate

Milchzahn stecken geblieben

Vorher
Nachher

Antonia

Alter: 13 Jahre
Diagnose: steckengebliebene (persistierende) Milchzähne
Therapie: Brackets
Therapiedauer: 17 Monate

Vorher
Nachher

Katharina

Alter: 14 Jahre
Diagnose: steckengebliebene (persistierende) Milchzähne rechts oben
Therapie: Brackets
Therapiedauer: 18 Monate

Verlagerter Zahn

Vorher
Nachher

Alava

Alter: 12 Jahre
Diagnose: Frontengstand, Eckzahn links oben verlagert
Therapie: Brackets
Therapiedauer: 18 Monate

Vorher
Nachher

Selina

Alter: 12 Jahre
Diagnose: verlagerter Zahn
Therapie: Brackets
Therapiedauer: 22 Monate

Vorher
Nachher

Lena-Marie

Alter: 18 Jahre
Diagnose: Engstand, Eckzahn verdreht und verlagert
Therapie: Brackets
Therapiedauer: 26 Monate

Vorher
Nachher

Roana

Alter: 13 Jahre
Diagnose: OK Frontengstand, Eckzahn links oben verlagert
Therapie: Brackets
Therapiedauer: 19 Monate

Vorher
Nachher

Ilarija

Alter: 13 Jahre
Diagnose: Eckzahn rechts oben verlagert (liegt quer oberhalb des Zahnkranzes)
Therapie: Brackets
Therapiedauer: 40 Monate

Platzmangel, verkehrter Überbiss/Kantbiss

Vorher
Nachher

Luis

Alter: 16 Jahre
Diagnose: Platzmangel/verkehrter Überbiss/Kantbiss; 3er verlagert
Therapie: Brackets
Therapiedauer: 19 Monate

Filter

    zurücksetzenschließen

    Datenschutz

    Wir ersuchen um Ihre Zustimmung für Cookies. Marketing-Cookies werden erst mit Ihrer Zustimmung verwendet, unsere Website ist werbefrei. Nähere Details finden Sie unter Datenschutz.

    akzeptieren

    ablehnen